투명교정
투명교정이란?
치아를 더욱 건강하고 가지런하며 하얗고 아름답게
치아의 본을 뜬 후 기공소에서 맞춤 제작된, 투명 합성플라스틱 재질의 얇은 교정장치를 이용하여 흐트러진 치열을 바로잡는 교정치료법입니다.
nerve_ilu
투명교정의 장점
투명교정을 이용하셨을 때의 장점들 입니다.
iron_con
  • nerve_p04
    다른 교정장치에 비해 눈에 잘 안띈다.
  • nerve_p04
    다른 교정장치에 비해 편안하다.
  • nerve_p04
    다른 교정장치에 비해 청결하다.
  • nerve_p04
    일상생활에 지장이 적다.
  • nerve_p04
    중요한 날에는 빼고 있을 수 있다.
  • nerve_p04
    자유로운 식사가 가능하다.
투명교정과 일반교정 비교
투명교정과 일반교정 비교
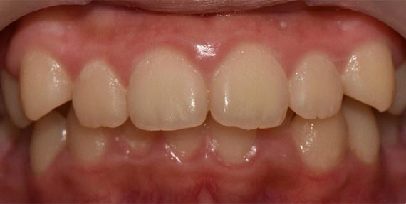
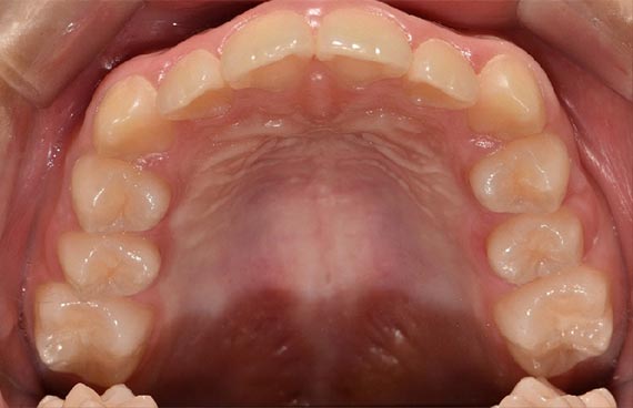
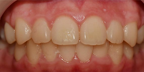
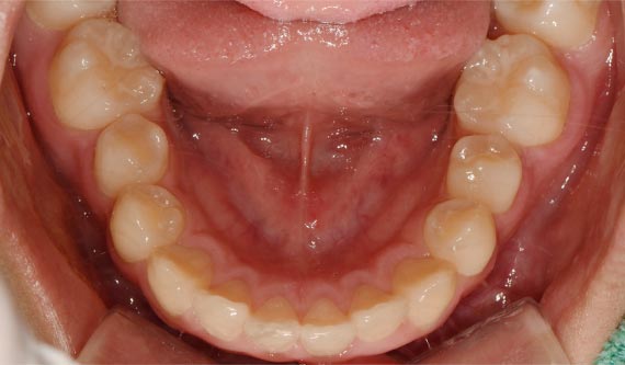
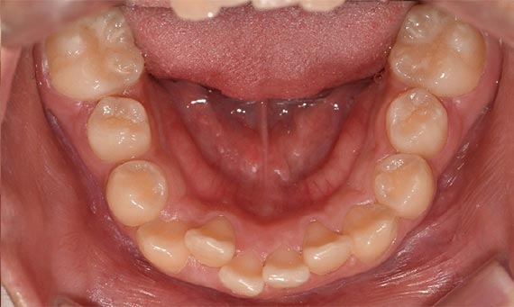
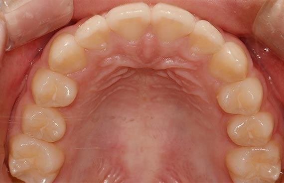
시술 전후 비교
BEFORE
down
AFTER
BEFORE
down
AFTER
BEFORE
down
AFTER
동탄주치과
대표 : 박양훈, 이주호 사업자등록번호 : 7303901134
경기 화성시 동탄솔빛로 64 (반송동, 가희프라자2) 배스킨라빈스 건물 2층, 3층
Tel : 031-613-0805
ⓒ 2024 동탄주치과
동탄주치과 진료안내
  • 평       일 : 10:00 ~ 19:00
  • 토  요 일 : 09:30 ~ 13:00
  • 점심시간 : 13:00 ~ 14:30
kakao
LOCATION MAP 오시는 길
joomap