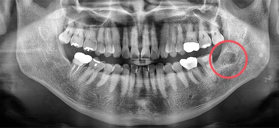
음식물이 어금니 뒤로 껴서 잇몸이 붓는 경우





![]() |
발치하고 나서는 일시적으로 얼굴이 붓거나 멍이 들 수 있습니다. 얼음찜질로 예방해 주어야 합니다. |
|---|---|
![]() |
아래 사랑니의 경우 큰 턱뼈신경과 겹쳐져 있을 때는 일시적으로 아래 턱에 신경 감각이상을 유발할 수 있으나 약을 드시면 회복할 수 있습니다. |
![]() |
빨대를 쓰거나 담배를 피는 행동을 피하시고 피랑 침을 절대 뱉으시면 안되며 삼켜주셔야 합니다. |
![]() |
술을 드시거나 운동을 하는 것 같은 혈압이 오르는 행동을 피하셔야 합니다. |
![]() |
물고 계신 거즈는 1시간 30분 이상 반드시 꼭 물고 계셔야 합니다. |
![]() |
드린 약은 용법대로 반드시 복용하시고, 식사는 부드러운 음식을 택하여 반대편 치아로 드셔야 합니다. |
![]() |
발치한 자리를 손이나 혀로 만져 보지 마시고, 구상 소독액으로 양치하시면 좋습니다. |
![]() |
발치하신 후 3~4일까지가 가장 위험합니다. 예기치 못한 뼈 염증이 발생되는 경우가 간혹 있으니, 주의 사항을 잘 지켜 주시기 바랍니다. |


