신경치료
신경치료란?
자연치아를 발치하지 않고 살리기 위한 마지막 치료입니다.
단단한 치아 안에 들어있는 오염된 신경조직을 제거하고, 소독한 후 치과용 재료로 밀봉하여 치아의 기능을 유지하고 보존하는 치료입니다. 동탄주치과의 신경치료는 Reciproc Engine과 Ultrasonic Tip 등의 최첨단 기구를 이용하여 더욱 빠르고 안전합니다.
nerve_ilu
신경치료 대상자
한 가지라도 해당 사항이 있다면, 신경치료를 고려해 봐야 합니다.
nerve_con
  • nerve_p04
    충치가 심해 치아안의 신경까지 오염된 경우
  • nerve_p04
    치아 뿌리 끝에 염증이 생긴 경우
  • nerve_p04
    치아가 깨지거나 부러진 경우
  • nerve_p04
    치아가 심하게 마모되거나 패인 경우
  • nerve_p04
    과거의 신경치료 후 염증이나 통증이 재발한 경우
  • nerve_p04
    치아가 심각하게 아프거나 시린 경우
신경치료 치료방법
  • nerve01
    방사선 촬영으로 치아와 신경의 형태를 확인한 후 치과용 국소 마취로 동통을 조절 하면서 치아 내부로 접근하기 위한 구멍을 만듭니다.
    down
  • nerve02
    가느다란 치아뿌리속의 관에도 들어갈 수 있도록 고안된 작은 기구를 이용하여 치수머리는 물론 치아뿌리속의 신경까지 제거합니다.
    down
  • nerve02
    소독액으로 근관을 씻어내면서 남아 있는 신경조직이나 변성된 치아조직 들을 제거하고, 신경이 제거된 치아 내부의 빈 공간을 다른 재료로 채울 수 있도록 치아뿌리관의 형태를 다듬습니다.
    down
  • nerve02
    치아 내부에 대한 정리가 되고, 동통이나 염증 반응 등 더 이상 임상적인 문제가 없다면 깨끗하게 준비된 근관에 치과용 재료를 넣어서 채운 후 입구를 밀봉합니다.
시술 후 주의 사항
시술 후 아래 사항은 꼭 지켜주세요.
nerve_a01 치료 중에는 치아가 깨질 수 있으므로 딱딱하거나 질긴 음식을 피하시고, 반대편 치아로 씹으세요.
nerve_a01 상태에 따라 보통 1~ 5회 이상 치료가 필요하며, 치료중단 시에는 치아가 깨지거나 충치가 심해져서 나빠질 수 있으니 빠지지 말고 내원해주세요.
nerve_a01 신경을 제거한 치아는 영양공급이 되지 않아서 깨질 수 있으니 보철을 씌워야합니다.
nerve_a01 신경치료를 하는 동안에는 아플 수 있습니다. 아프실 때는 진통제를 드셔야합니다.
nerve_ilu
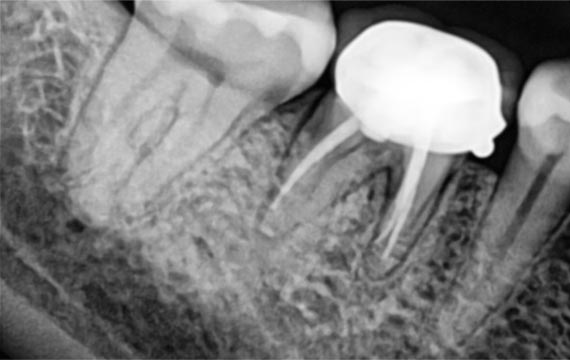
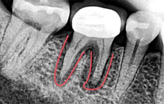
시술 전후 비교
BEFORE
down
AFTER
동탄주치과
대표 : 박양훈, 이주호 사업자등록번호 : 7303901134
경기 화성시 동탄솔빛로 64 (반송동, 가희프라자2) 배스킨라빈스 건물 2층, 3층
Tel : 031-613-0805
ⓒ 2024 동탄주치과
동탄주치과 진료안내
  • 평       일 : 10:00 ~ 19:00
  • 토  요 일 : 09:30 ~ 13:00
  • 점심시간 : 13:00 ~ 14:30
kakao
LOCATION MAP 오시는 길
joomap