잇몸치료
잇몸치료란?
치아를 살리는 두 번째 치료, 잇몸치료
치태나 치석으로 인해 치아 주위 조직에 염증이 생기면 잇몸과 잇몸뼈를 파괴하게 됩니다. 잇몸치료는 잇몸조직과 잇몸뼈를 다루는 치료로 이러한 질병을 예방하고 치료하게 됩니다. 잇몸질환은 예방이 가능하나 일단 증상이 나타나면 치주염이 많이 진행된 상태이고 치료시기가 늦는 경우가 많아 지속적인 관리가 필요합니다.

동탄주치과에서는 세계 최고의 임플란트 회사인 스위스 Strauman사의 Emdogain을 사용하여 잇몸질환의 예방 및 치료뿐 아니라 치조골의 재생을 도모하여 자연치아를 최대한 살리고 있습니다.
body_ilu
잇몸치료 대상자
한 가지라도 해당 사항이 있다면, 잇몸치료를 고려해 봐야 합니다.
body_con
  • nerve_p04
    잇몸이 붓고 피가 자주 나는 경우
  • nerve_p04
    잇몸이 간지러운 경우
  • nerve_p04
    잇몸쪽 치아가 파여서 시린 경우
  • nerve_p04
    치석이나 착색이 있는 경우
  • nerve_p04
    치아가 흔들리는 경우
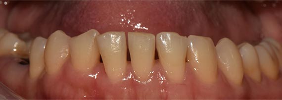
시술 전후 비교
BEFORE
down
AFTER
동탄주치과
대표 : 박양훈, 이주호 사업자등록번호 : 7303901134
경기 화성시 동탄솔빛로 64 (반송동, 가희프라자2) 배스킨라빈스 건물 2층, 3층
Tel : 031-613-0805
ⓒ 2024 동탄주치과
동탄주치과 진료안내
  • 평       일 : 10:00 ~ 19:00
  • 토  요 일 : 09:30 ~ 13:00
  • 점심시간 : 13:00 ~ 14:30
kakao
LOCATION MAP 오시는 길
joomap