다른 치아에 피해를 주지 않습니다




![]() |
6개월 정도는 무리한 사용을 피해야 하며, 단단하거나 질긴 음식은 보철물을 손상시킬 수 있으므로 가능하면 작게 잘라서 드셔야 합니다. |
|---|---|
![]() |
이물감이 느껴지거나 발음이 잘 되지 않는 부분은 시간이 지남에 따라 점차 회복됩니다. |
![]() |
임플란트는 턱 뼈의 형태에 맞춰 심겨지므로, 최종 보철물의 형태가 다소 좋지 않을 수도 있습니다. |
![]() |
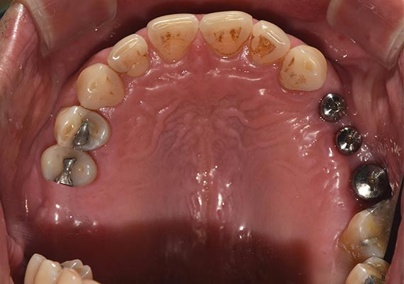
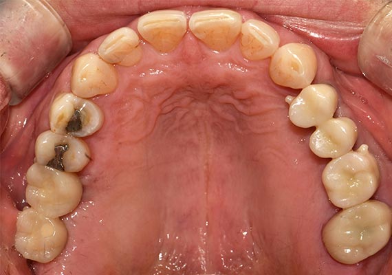
임플란트 보철물은 자연치보다 음식물이 더 쉽게 붙어 치석이 됩니다. |
![]() |
치석으로 인해 잇몸에 염증이 생기면 보철물을 오래 사용할 수 없으며, 조기에 제거해야 할 수 있습니다. |
![]() |
구강위생관리 방법을 잘 이해하고, 병원에서 추천한 위생보조기구를 반드시 사용해야 합니다. |
![]() |
특별한 문제가 없어도 3~6개월에 한 번씩 병원에서 검진을 받으셔야 합니다. |
![]() |
보철물이 흔들리거나 깨진 경우 혹은 평소와 다른 느낌이 드는 경우 즉시 병원에 연락하셔야 합니다. |





